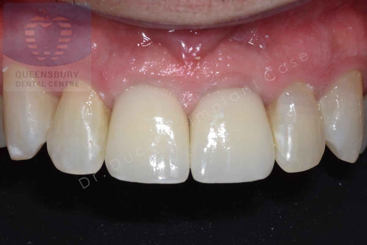
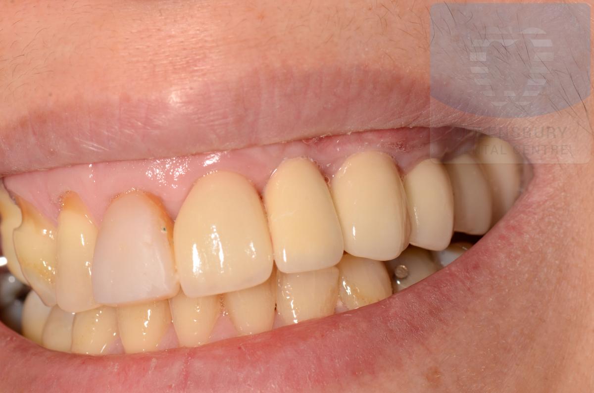
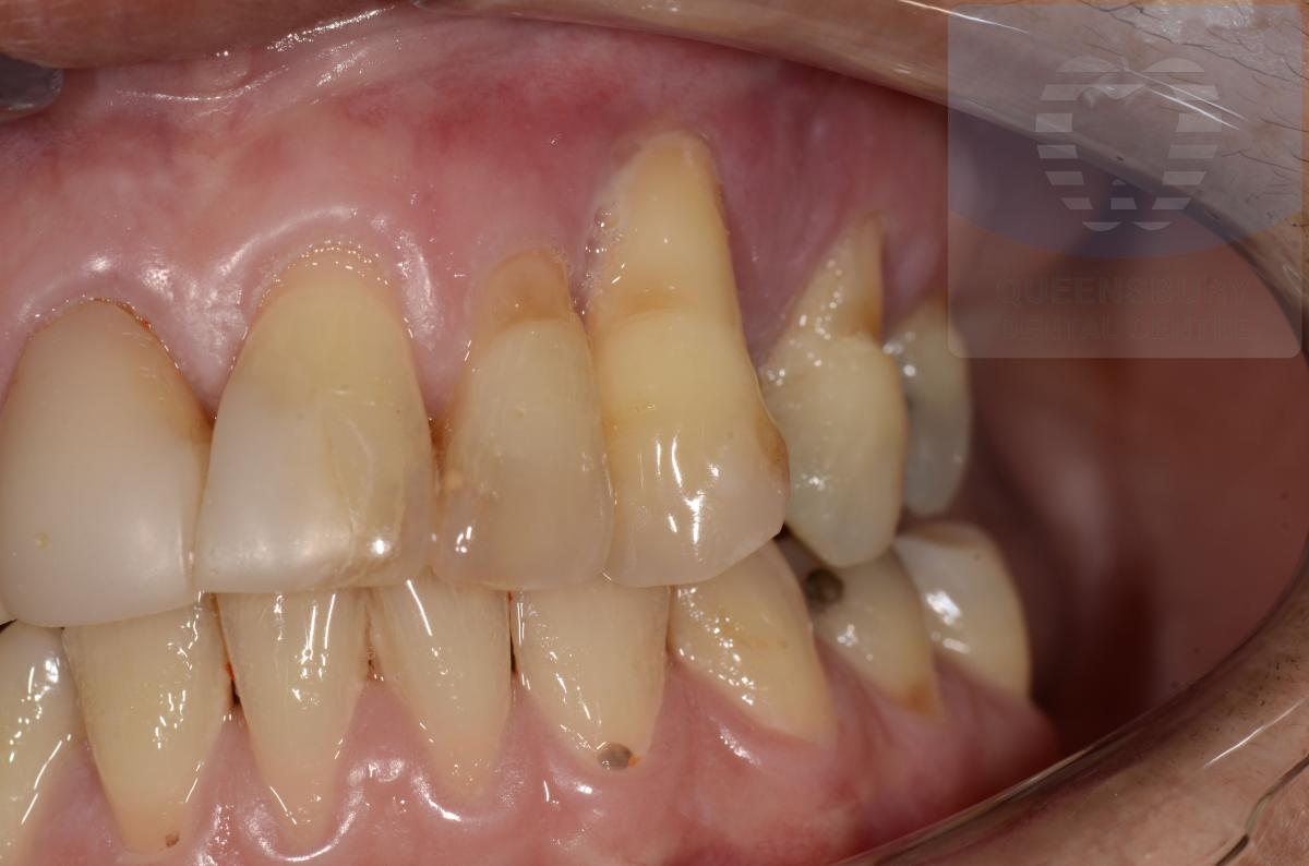
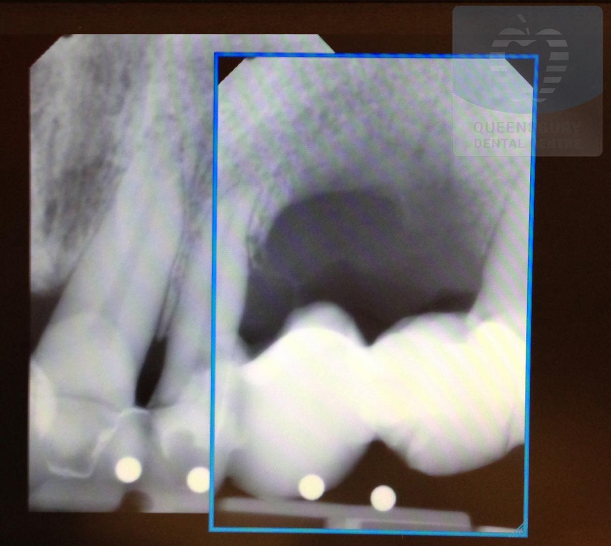
Implants Placed & Restored By Our Queensbury Doctors
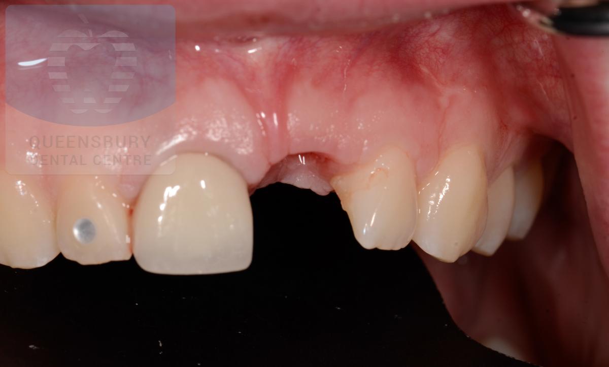
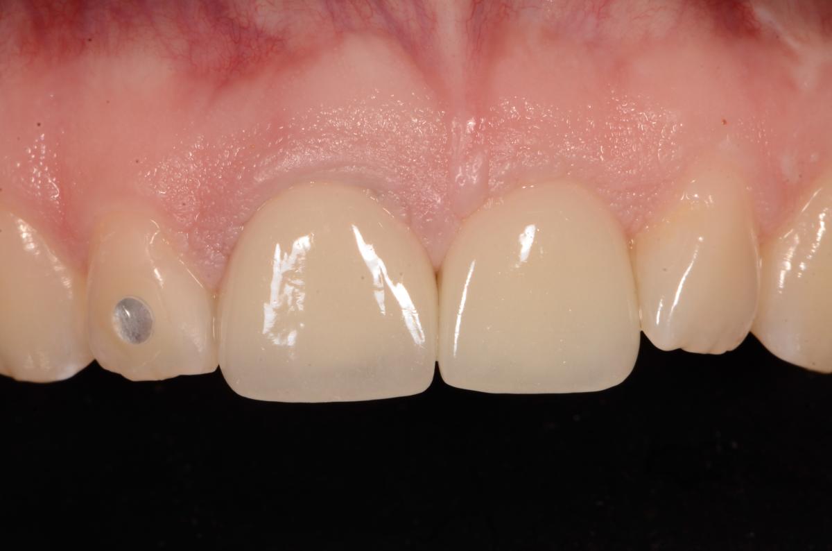
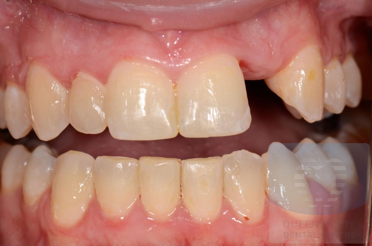
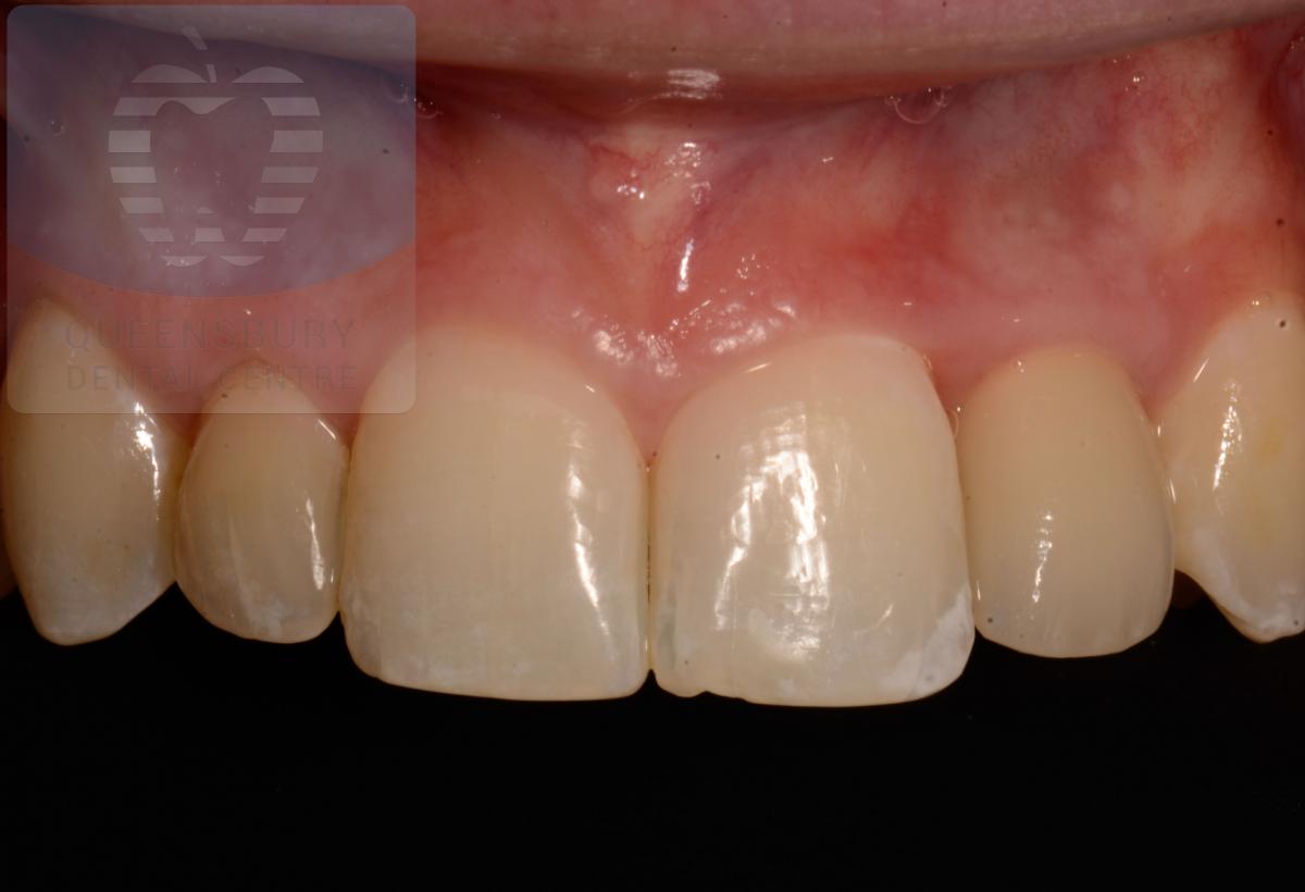
Missing teeth and loose dentures make many people avoid social settings because they are too self-conscious about their appearance. Current dental procedures, however, replace everything from a single missing tooth to a completely missing arch. Ask your dentist or dental specialist about the different dental options that are available to you. Don’t let another day go by without taking this important first step to restoring your confidence and your smile!

1189
PLACED IMPLANTS SO FAR
2374
RESTORED IMPLANTS SO FAR
QUESTIONS ABOUT DENTAL IMPLANTS? ASK OUR TEAM.
HAVE QUESTIONS?
We’re here to help answer your questions.
Are you thinking about dental implants? Our Team is on hand to help with any questions you may have.
























